ナタリーデンタルクリニック

0120-930-147

診療時間9:00~12:30 14:00~18:30(土曜日の午後は17:30まで)

休診日火曜・日曜・祝日

MENU

インプラント入れた後でもマウスピース矯正は可能 お口の再生博士

お口の再生博士

歯科の総合病院

ナタリーデンタルクリニック
歯科医師 Dr.金田 竜典 です

vol.1762

2026年2月21日

地域に寄り添い通院困難な患者様にも
質の高い診療を提供し

広島県西部から口腔内の問題で
困っている人を無くし

最後まで自分の口から
食べられることに貢献します

本日は
マウスピース矯正
症例紹介NO.460です

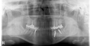
🔶矯正開始時レントゲン🔶

すでにインプラントが入っている患者様

🔶矯正開始時🔶

正面




歯並びガタガタの そうせい
出っ歯さんが気になり
矯正を希望されました

今回はインビザラインでなく

⬇️⬇️インビザラインのホームページはこちら


クリアコレクトを選択

この歯並びが治る原理は
そうせい🟰歯と歯の間を少し削り
スキマを作って歯をキレイに整列

ただしインプラント
動かない歯とAIに指令を出すことで
矯正のプログラムをAIが考案

出っ歯🟰Ⅱ級ゴムを使うことで

上の歯列を後ろに動かす 
えんしん移動で出っ歯さんを矯正

🔶アフター🔶

正面




ブログが気になればお問い合わせして下さい

お問い合わせはこちらから

⬇⬇⬇⬇⬇


~ お知らせ ~
今年度も歯科医師
ドクターを募集しています

当医院にご興味がある方は
いつでも見学にお越し下さい!
問い合わせも🆗です

経験者(中途採用)も大歓迎です。
⬇⬇⬇⬇⬇⬇⬇⬇⬇⬇

過去のブログはこちらから
⬇⬇⬇⬇⬇⬇⬇⬇⬇⬇インスタはこちらから
⬇⬇⬇⬇⬇⬇⬇⬇⬇⬇

新着記事
カテゴリ
キーワード

お知らせNEWS

  • 2026.03.27
    <ゴールデンウィーク 休診のお知らせ> 4月29日(水)、および 5月3日(日) ~ 5月6日(水) は休診いたします。
    患者様にはご不便をおかけいたしますが、何卒ご理解のほどお願い申し上げます。
  • 2025.12.03
    <年末年始 休診のお知らせ> 下記の期間を休診とさせていただきます。
    患者様にはご不便をおかけいたしますが、何卒ご理解とご協力をお願い申し上げます。
    休診期間:2025年12月29日(月)午後~2026年1月4日(日)
    ※新年は1月5日(月)より通常通り診療いたします。
  • 2025.07.29
    <夏季休暇のお知らせ>
    誠に勝手ながら、下記の期間を夏季休診とさせていただきます。
    休診期間:8月10日(日)~8月15日(金)
    ご不便をおかけいたしますが、何卒ご了承くださいますようお願いいたします。
  • 2025.05.02
    <GWのお知らせ> 5月3日(土)~6日(火)が休診となっております。
    ご迷惑をお掛けいたしますが、何卒よろしくお願いいたします。
  • 2024.12.11
    <年末年始休診のお知らせ> 2024年12月29日(日)~1月3日(金)まで年末年始のお休みとさせていただきます。
    年内の診療は12月28日(土)までになりますので、ご了承ください。
    新年は1月4日(土)より通常通り診療を行いますので、どうぞよろしくお願いいたします。
  • 2024.07.26
    <夏季休診のお知らせ> 下記の日程を夏期休診とさせていただきます。
    8月11日(日)~8月15日(木)
    8月16日(金)より通常診療となりますので、ご迷惑をお掛けいたしますが、何卒よろしくお願いいたします。
  • 2024.07.05
    <午後休診のお知らせ> 7月11日(木)は午後休診となります。
    9時~12時半までの診療となりますので、ご了承ください。
  • 2023.11.15
    <年末年始休診のお知らせ> 2023年12月30日(土)~2024年1月3日(水)は、年末年始のお休みとさせていただきます。
    新年は1月4日(木)から通常通り診療いたします。
    何卒よろしくお願いいたします。
  • 2023.11.15
    <休診のお知らせ> 11月24日(金)は院内大掃除のためにお休みいたします。
    ご迷惑をおかけいたしますが、何卒ご理解の程よろしくお願いいたします。
  • 2023.08.09
    <お盆休みのお知らせ> お盆期間の診療は下記の通りとなっております。
    8月11日(金)休診
    8月12日(土)通常診療
    8月13日(日)休診
    8月14日(月)通常診療
    8月15日(火)休診
    どうぞ、よろしくお願いいたします。
  • 2023.02.14
    <訃報のお知らせ> 当医院で小児歯科を担当していた下山 幸子先生が、令和5年2月3日に永眠いたしました。
    子供が大好きで、小児歯科が天職だと言っていた下山先生の意思を継ぎ、これからもよりよい診療に努めてまいります。
  • もっと見る

  • 2022.11.16
    <年末年始休診のお知らせ> 2022年12月30日(金)~2023年1月3日(火)を、年末年始のお休みとさせていただきます。
    新年は1月4日(水)から通常通り診療を開始いたしますので、何卒よろしくお願いいたします。
  • 2022.09.14
    <午前診療のお知らせ> 9月16日(金)の診療時間は9時~12時半までとなっております。
    午後は休診となっておりますので、何卒ご了承ください。
  • 2022.07.07
    <お盆休みのお知らせ> 2022年8月14日(日)~8月16日(火)は、お盆休みとさせていただきます。
    8月13日(土)は通常通り、終日診療いたします。
    どうぞ、よろしくお願いいたします。
  • 2021.04.08
    <GW休診のお知らせ> 5月3日(火)~5月5日(木)は、暦通りお休みとさせていただきます。
    5月6日(金)より通常通りの診療を行いますので、よろしくお願いいたします。
  • 2021.12.09
    <年末年始休診のお知らせ> 2021年12月30日(木)~2022年1月3日(月)は、年末年始のお休みとさせていただきます。
    新年は1月4日(火)から通常通り診療いたします。
    どうぞ、よろしくお願いいたします。
  • 2021.12.02
    <診療時間変更のお知らせ> 平日午後の診療開始時間を15時から14時に変更いたします。
    この機会にぜひご来院ください。
  • 2021.07.12
    <お盆休みのお知らせ> 2021年8月11日(水)~8月15日(日)は、お盆休みとさせていただきます。
    代替診療日として、8月10日(火)は診療いたしますので、ご利用の方はご予約ください。
  • 2020.12.08
    <年末年始休診のお知らせ> 2020年12月29日(火)~2021年1月3日(日)は、
    年末年始のお休みとさせていただきます。
    新年は1月4日(月)から通常通り診療します。
    ご迷惑をお掛けいたしますが、何卒よろしくお願いいたします。
    なお、12月30日(水) は急患診療を行っておりますので、
    緊急の場合はお越しください。
  • 2020.09.18
    <休診日変更のお知らせ> 10月より、祝日のある週も火曜日を休診いたします。
    ご迷惑をお掛けしますが、よろしくお願いします。
  • 2020.09.15
    <新型コロナウイルス感染症対策・除菌ユニット付きエアコン取付> ナタリーデンタルクリニックでは新型コロナウイルス等の感染拡大防止対策の一環として、有害物質を酸化・分解し不活化する独自ストリーマ技術で新型コロナウイルス等への効果が実証された除菌ユニット付のエアコンをナタリー歯科スマイル(インプラント手術室完備)に設置いたします。
  • 2020.08.26
    <口腔ケア講座のご案内> 「コロナに負けない口腔ケア」と題しまして、当院非常勤歯科医師の久保田潤平医師(九州歯科大学)による口腔ケア講座を開催いたします。どなたでも無料でご参加できますので、お気軽にお申し込みください。
    ■日時:8月29日(土)14:00~15:30 ■会場:大野東市民センター
    ご案内パンフレット››
  • 2020.08.17
    <ナタリーデンタルクリニックコラム> 歯並び編 - 悪い歯並びの影響を追加しました。
  • 2020.08.04
    <夏季休診のお知らせ> 誠に勝手ながら、8月13日(木)~8月16日(日)は夏期休診とさせていただきます。大変ご迷惑をお掛け致しますが、ご理解のほどよろしくお願い致します。8月17日(月)より平常通り診療致します。
  • 2020.06.16
    <新型コロナウイルス感染症対策・空気清浄器設置のお知らせ> ナタリーデンタルクリニックでは、新型コロナウイルスに対する有効性を確認した空気清浄器を20台購入し、院内各所へ設置いたします。
  • 2020.06.12
    <ナタリーデンタルクリニックコラム> 子どものころに矯正をしなった理由とは…を追加しました。
  • 2020.03.18
    <当院のコロナ対策について> 新型コロナウィルス対策について当院での対応について追加しました。
  • 2019.12.23
    <年末年始休診日のお知らせ> 12月28日(土)午後~1月3日(金)まで休診、4日(土)から通常診療とさせていただきます。
  • 2019.10.04
    <2020年度新卒採用エントリー受付を開始しました> 歯科医師募集はこちら歯科衛生士募集はこちらからご確認ください。
  • 2019.07.25
    <夏季休診のお知らせ> 2019年8月11日(日)~2019年8月15日(木)は休診とさせていただきます。
  • 2019.07.25
    <休診のお知らせ> 2019年8月24日(土)14時以降は宮島花火大会のため休診とさせていただきます。
  • 2019.07.18 矯正歯科サイトをオープンしました。
ページトップへ戻る
Page
top
ナタリーデンタルクリニック メインサイト ナタリーデンタルクリニック・ナタリー歯科スマイル インプラントサイト ナタリーデンタルクリニック 訪問歯科サイト ナタリーデンタルクリニック リクルートサイト ナタリーデンタルクリニック マウスピース矯正矯正ブログ 金田ドクターのドクターコラム

0120-930-147

〒738-0054
広島県廿日市市阿品3丁目1-1

休診日火曜・日曜・祝日

診療時間
9:00〜12:30 - -
14:00〜18:30 - -

▲:土曜日の午後は17:30まで
※診療終了時間の30分前が受付締切時間となります

JRをご利用の方

JR阿品駅より徒歩3分

  • JR広島駅→山陽本線(岩国行)で約25分→JR阿品駅より徒歩3分
  • JR岩国駅→山陽本線(糸崎行)で約25分→JR阿品駅より徒歩3分

広電をご利用の方

広電阿品駅より徒歩1分

  • 広電廿日市駅→広島電鉄宮島線(広電宮島口行)で約10分広電阿品駅より徒歩1分

お車をご利用の方

※駐車場はフジグランナタリー内にございます。

  • 広島駅前→広島市役所前→国道2号線経由で約35分
  • 岩国駅前→国道188号線~国道2号線~広島岩国道路~西広島バイパス経由で約37分
© Natalie Orthodontic All Rights Reserved.