ナタリーデンタルクリニック
歯科医師 Dr.金田 竜典 です
vol.1618
2025年9月28日
本日は
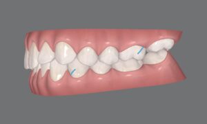
🔶初診時🔶
正面
右
左

上の前歯にスキマがある
せいちゅうりかい
を気にして来院
ディープバイトは歯に有害で
前歯がガシガシ当たるので
前歯が中年期ですり減り神経が出て来る
場合によっては
下の前歯に力がかかりすぎて
歯がグラついて抜けることも
歯科医師会がオススメする
80歳で20本の歯を残す80 20運動は
達成率が低いとデータが証明
すきっ歯は
欧米では
マドンナが
すきっ歯で
世界的に大ブレークしたので
ラッキーガールのシンボル
ディープバイトが治る原理は
上下の奥歯は上の歯は下に
下の歯は上に引き抜き
ていしゅつ
という動きを
おこない
前歯は上の歯は上に 下の歯は下に押し込む
あっか という動きを行う事で
ディープバイトを改善
🔶アフター🔶
正面
右
左
ブログが気になればお問い合わせして下さい
お問い合わせはこちらから
⬇⬇⬇⬇⬇⬇⬇⬇⬇⬇
~ お知らせ ~
今年度も歯科医師
ドクターを募集しています
当医院にご興味がある方は
いつでも見学にお越し下さい!
問い合わせも🆗です
過去のブログはこちらから
⬇⬇⬇⬇⬇⬇⬇⬇⬇⬇
インスタはこちらから
⬇⬇⬇⬇⬇⬇⬇⬇⬇⬇

もっと見る▲

| 診療時間 | 月 | 火 | 水 | 木 | 金 | 土 | 日 |
|---|---|---|---|---|---|---|---|
| 9:00〜12:30 | ● | - | ● | ● | ● | ● | - |
| 14:00〜18:30 | ● | - | ● | ● | ● | ▲ | - |
▲:土曜日の午後は17:30まで
※診療終了時間の30分前が受付締切時間となります
JRをご利用の方
JR阿品駅より徒歩3分
広電をご利用の方
広電阿品駅より徒歩1分
お車をご利用の方
※駐車場はフジグランナタリー内にございます。